I nostri servizi

Per offrire un servizio di qualità è necessario affidarsi alle tecnologie più moderne. Tutto il nostro staff è costantemente aggiornato per garantire un servizio d’eccellenza.

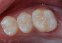
Tecnologie laser

Il Nostro Studio Vi offre un trattamento tra i piu' avanzati per la cura della carie: il laser.
Il raggio laser cura la carie in modo profondo e selettivo ottenendo una otturazione di altissima qualità.
In piu' la luce laser, sostituendo il classico “trapano”, non ha i fastidiosi rumori e le vibrazioni che noi tutti ricordiamo.
Il trattamento, assai semplice per il paziente, richiede per l'operatore una conoscenza approfondita: i nostri operatori sono abilitati all'uso del laser solo dopo un corso di perfezionamento universitario della durata di 1 anno.

Per offrirti il miglior servizio possibile Dott.ssa Camilla Ricciardi - Studio Dentistico utilizza cookies. Continuando la navigazione nel sito autorizzi l’uso dei cookies.  -  normativa su cookie e privacy  -  Autorizzo